Las caries infantil o caries de la primera infancia, también conocida como caries de biberón, es una enfermedad infecciosa que afecta a los dientes de leche y que avanza de forma rápida y agresiva.
Pero más allá de ser un problema puntual que se arregla con un empaste y se previene con buena higiene, puede infiltrarse en los tejidos periodontales y convertirse en crónica.
Y es que, según la Sociedad Española de Odontopediatría, un niño con caries en los dientes primarios, será probablemente un adulto con múltiples caries y restauraciones en la dentición permanente. Es decir, necesitará atención intensiva toda su vida.
La caries infantil es un problema serio, que vemos a menudo y del que no se habla lo suficiente.
Por eso, desde la Clínica Arte Sano queremos explicarla a fondo.
¿Para qué? si se van a caer…
El grave error de no hacer nada.
¿Qué es la caries de primera infancia?
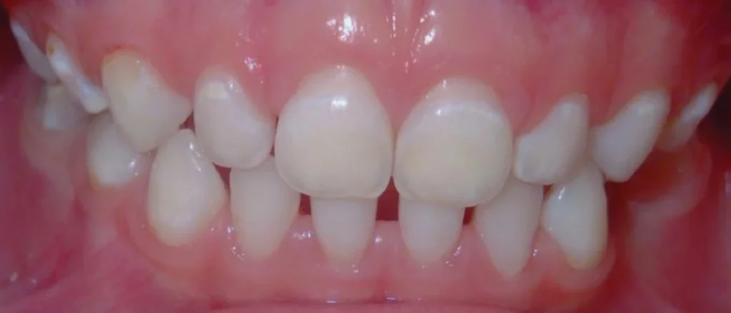
La caries de primera infancia aparece con una lesión de mancha blanca, que es el primer síntoma de la caries. Esta mancha blanca sigue la forma de la encía y es fácil de reconocer.
Normalmente, la caries infantil empieza entre los 13 y los 24 meses aunque, mientras haya dientes de leche, puede estar ahí. Y lo realmente peligroso es que hace muy probable que las caries continúen en los dientes definitivos, transmitida a través de la encía.
El riesgo de caries de primera infancia se concentra en niños menores de 3 años que tengan incisivos superiores y:
- padres con hábitos de transmisión salival
- Que se duermen comiendo (sea lactancia materna o biberón)
- Que se despiertan por la noche para comer
- Que comen “a demanda” durante el día (en intervalos menores de 2 horas)
- Con una dieta rica en carbohidratos ( galletas, zumos, azúcares,…)
- No les cepillan los dientes a diario
¿Cuáles son las causas?
Las causas de la caries de la primera infancia son varias y diversas. Más que de causas, se habla de factores de riesgo, que casi siempre coinciden con una falta de información.
Por un lado están la alimentación y la higiene, claves en la conformación del ecosistema que es la boca. Las reacciones químicas que se producen en la boca son únicas en cada persona, y cambian totalmente según el tipo de alimentación.
Pero en ocasiones se la asocia a prácticas cotidianas que llevan a la boca de los niños bacterias que no deberían estar ahí.
Por ejemplo:
Lactancia prolongada
La lactancia y el uso de biberón prolongados en el tiempo y sin el control adecuado pueden alterar el PH de la boca, especialmente cuando los dientes recién están saliendo y su esmalte no es duro.
Si se prolonga la lactancia, la higiene es muy importante. Especialmente si hay lactancia nocturna. Según la OMS, se debería limpiar los dientes del niño después de cada toma de pecho.
El riesgo de aparición de caries dental es del 7%, 8%, 11% y 16% según sea la duración de la lactancia; 12, 18, 24 y 36 meses, respectivamente.Sociedad Española de Odontopediatría, 2017
Consumo de carbohidratos y azúcares
Los carbohidratos están presentes en casi todos los alimentos: desde la fruta hasta el queso, pasando por el pan o los cereales. Las bacterias de la boca proliferan cuando hay restos orgánicos y son causa directa de la caries infantil. Y, por cauce distinto, también pueden acabar en enfermedad periodontal si se las ignora lo suficiente.
¡Ojo! estamos hablando de carbohidratos en general, no de azúcares, que solo acentúan el problema. Los azúcares están, visibles y ocultos, en gran parte de los alimentos que los niños consumen. Zumos, bollería y toda suerte de snacks. Por eso es importante controlar lo que los niños comen, dejar esos productos para ocasiones especiales y, sobre todo, crear el hábito de la higiene dental diaria.
Colonización bacteriana precoz
Es como se llama a la trasmisión de otras bacterias presentes en el entorno del niño. Un chupete abandonado, limpiarlo chupándolo, o incluso compartir cubiertos, pueden ser causa directa de que las bacterias inadecuadas se queden más tiempo del necesario.
La clave está en revisar con frecuencia la boca de los más pequeños, y educarlos para que cepillarse los dientes sea algo innegociable.
La higiene bucal
No es justo hablar de mala higiene dental porque, como decíamos, se habla muy poco de la caries de primera infancia. A veces se piensa que se puede ignorar caries en los dientes de leche. Porque total, se van a caer. Otras veces, no se detecta ningún problema hasta que ya es tarde y los dientes ya están afectado.
El factor decisivo no está tanto en los hábitos alimenticios – que también, como en los de higiene bucal.
El desconocimiento es nuestro peor enemigo, y en Arte Sano creemos en la reeducación. Enseñar buenos hábitos de higiene dental en la infancia es clave para la salud de los niños. Y también para la economía familiar a largo plazo.
Es cuestión de ir al dentista para evitar que los niños desarrollen caries infantil, no para curarla.

¿Cómo prevenir la caries de primera infancia?
- Enséñales a cepillarse los dientes correctamente y durante al menos 2 minutos.
- Revisa los dientes de los niños pequeños. Sospecha si ves una mancha blanca: eso una caries y debería ser tratada.
- (Si te deja) Evita la alimentación nocturna (pecho o biberón) cuando sale el primer diente, o intenta limpiarlos tras cada ingesta.
- Evitar mojar chupetes y tetinas en productos azucarados o miel.
- Evita los alimentos que contengan azúcar entre comidas: bebidas carbonatadas, zumos o bollería industrial (croissants, galletas,…), yogures líquidos y snacks.
- La higiene dental con cepillo debe empezar cuando sale el primer diente de leche. Cuanto antes empiece más fácil será todo.
Por último, un apunte legal
Los datos de este artículo están el Protocolo de diagnóstico, pronóstico y prevención de la caries de la primera infancia, de la Sociedad Española de Odontopediatria. Es una lectura fácil y recomendable para cualquiera que tenga hijos o planee tenerlos, porque, como decíamos, el desconocimiento está detrás de muchos casos de caries de primera infancia.
Pero es que, además, la atención médica y dental está recogida en el Artículo 19 de la Convención sobre los Derechos del Niño de las Naciones Unidas, y por el Artículo 172 del Código Civil. Y aquí, el tema se pone serio, pues la “acción, omisión o trato negligente, no accidental, que priva al niño o la niña de sus derechos y bienestar, que amenaza o interfiere su ordenado desarrollo físico, psíquico o social” se considera maltrato infantil y puede tener consecuencias legales. Se llama negligencia dental.
La omisión deliberada de un tratamiento necesario no hace sino poner en grave riesgo la salud dental y general de los niños. Pero además, tiene efectos y consecuencias que marcarán toda su vida: caries con destrucción de corona o con exposición pulpar; problemas periodontales tempranos, una mordida incorrecta y una altísima dificultad para realizar tratamientos restauradores. Y, además, el mal aliento, la estética dental y las dificultades para hablar o sonreir provocarán una gran inseguridad. Y ningún niño se merece eso.


